Un astrofisico dell’Università di Bologna e un neurochirurgo dell’Università di Verona hanno messo a confronto la rete cosmica delle galassie con la rete dei neuroni della corteccia cerebrale, trovando caratteristiche sorprendentemente simili.
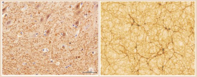
A sinistra: sezione di cervelletto, con fattore di ingrandimento 40x, ottenuto con microscopia elettronica (Dr. E. Zunarelli, Ospedale Universitario di Modena); a destra: sezione di una simulazione cosmologica, con estensione 300 milioni di anni luce di lato (Vazza et al. 2019 A&A)
In uno studio pubblicato sulla rivista Frontiers of Physics, l’astrofisico dell’Università di Bologna Franco Vazza e il neurochirurgo dell’Università di Verona Alberto Feletti hanno indagato come sono organizzati al loro interno e quanto davvero si somigliano due dei più enigmatici e complessi sistemi che esistono in natura: la rete delle galassie che compongono l’Universo e la rete dei neuroni all’interno del cervello umano.
Nonostante l’enorme differenza di scala dei due sistemi (oltre 27 ordini di grandezza), i risultati della ricerca quantitativa – a metà tra cosmologia e neurochirurgia – suggeriscono che processi fisici completamente diversi possono formare strutture con livelli di complessità e di auto-organizzazione sorprendentemente simili.
Le funzioni del cervello umano sono determinate dalla vasta rete dei neuroni, che si stima siano circa 69 miliardi. L’Universo visibile è invece segnato da una “rete cosmica” (cosmic web) di almeno 100 miliardi di galassie. In entrambi i casi, però, galassie e neuroni occupano solo una piccola frazione della massa dei due sistemi: meno del 30%. In entrambi i casi, galassie e neuroni si organizzano in lunghi filamenti, o nodi tra filamenti. E in entrambi i casi, circa il 70% della distribuzione di massa o energia dei due sistemi è formata da componenti che hanno un ruolo apparentemente passivo: acqua nel caso del cervello, energia oscura per l’Universo osservabile.
I due studiosi sono partiti da queste caratteristiche comuni mettendo a confronto da un lato una versione simulata della rete di galassie e dall’altro sezioni di corteccia cerebrale e di cervelletto. L’obiettivo era osservare come le fluttuazioni di materia si distribuiscono su scale tanto diverse.
"Per entrambi i sistemi abbiamo calcolato lo spettro di potenza: una tecnica standard usata in cosmologia per studiare la distribuzione spaziale delle galassie", spiega Franco Vazza. "Da questa analisi è emerso che la distribuzione delle fluttuazioni nella rete neuronale nel cervelletto, su scale da 1 micrometro fino a 0,1 millimetri, ha lo stesso andamento della distribuzione di materia nel cosmic web, su scale che però vanno da 5 milioni di anni luce fino a 500 milioni di anni luce".
Gli studiosi, inoltre, hanno calcolato diversi parametri che caratterizzano sia la rete cerebrale che quella cosmica: il numero medio di connessioni per nodo e la tendenza a raggruppare molte connessioni in grossi punti centrali all'interno della rete.
"Anche in questo caso, i parametri strutturali mostrano un inaspettato livello di accordo: probabilmente la connettività delle due reti evolve secondo principi fisici simili, nonostante le forze fisiche che regolano le interazioni tra galassie e neuroni siano ovviamente del tutto diverse", aggiunge Alberto Feletti. "C'è una maggiore somiglianza tra la struttura di queste due reti complesse che tra la rete cosmica e una singola galassia, oppure tra la rete neuronale e l'interno di un corpo neuronale".
A partire dai promettenti risultati ottenuti in questo primo lavoro esplorativo, gli studiosi sperano ora che nuove efficienti tecniche di analisi – sia nel campo della cosmologia che in quello della neurochirurgia – possano permettere di conoscere meglio le dinamiche profonde con le quali questi due affascinanti sistemi evolvono nel tempo.
Gli autori dello studio sono Franco Vazza, del Dipartimento di Fisica e Astronomia dell’Università di Bologna, e Alberto Feletti, del Dipartimento di Neuroscienze, Biomedicina e Movimento dell’Università di Verona.
Fonte: Università di Bologna
Riferimenti: Franco Vazza, Alberto Feletti. The Quantitative Comparison Between the Neuronal Network and the Cosmic Web. Front. Phys., 16 Nov 2020 DOI
Copyright: Tutti i diritti di testi o marchi inclusi nell'articolo sono riservati ai rispettivi proprietari.
Liberatoria: Questo articolo non propone terapie o diete; per qualsiasi modifica della propria cura o regime alimentare si consiglia di rivolgersi a un medico o dietologo. Il contenuto non rappresenta necessariamente l'opinione dell'Associazione Alzheimer onlus di Riese Pio X ma solo quella dell'autore citato come "Fonte". I siti terzi raggiungibili da eventuali collegamenti contenuti nell'articolo e/o dagli annunci pubblicitari sono completamente estranei all'Associazione, il loro accesso e uso è a discrezione dell'utente. Liberatoria completa qui.
Nota: L'articolo potrebbe riferire risultati di ricerche mediche, psicologiche, scientifiche o sportive che riflettono lo stato delle conoscenze raggiunte fino alla data della loro pubblicazione.
















Associazione Alzheimer OdV