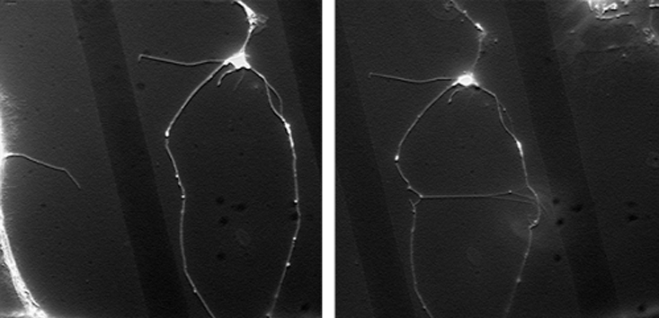
La connessione tra due neuroni tirata meccanicamente. A sinistra prima, e a destra dopo, la manipolazione. (Fonte McGill University)
Un gruppo di ricerca è riuscito, per la prima volta, a creare nuove connessioni funzionali tra i neuroni; a parte il fatto che queste diramazioni artificiali crescono oltre 60 volte più velocemente di quelle dei neuroni naturali, esse sono indistinguibili da quelle che crescono naturalmente nel nostro organismo.
Lo studio, guidato da ricercatori della McGill University e del Montreal Neurological Institute, è stato pubblicato la scorsa settimana sul Journal of Neuroscience.
"E' davvero molto emozionante, perché il sistema nervoso centrale non si rigenera", dice Montserrat Lopez, un borsista post-dottorato della McGill che ha trascorso quattro anni a sviluppare, mettere a punto e testare la nuova tecnica. "Quello che abbiamo scoperto dovrebbe permettere di sviluppare nuovi tipi di interventi chirurgici e terapie per le persone con danni o malattie nel sistema nervoso centrale".
Ricablare un neurone richiede alcune mosse molto accurate
Poiché la dimensione delle connessioni dei neuroni è all'incirca 1 centesimo di un capello umano, ci vogliono alcuni strumenti molto specializzati e una manipolazione molta attenta per creare connessioni neuronali sane, che trasmettono segnali elettrici proprio come quelle dei neuroni nati naturalmente.
I ricercatori hanno usato un microscopio a forza atomica per collegare una pallina di polistirolo (di pochi micrometri) alla porzione di braccio di un neurone che funge da trasmettitore, e poi allungarla, come tirare un elastico, per estenderla e connetterla con la parte del neurone che funge da ricevitore.
"Non avremmo mai fatto questa scoperta, se le persone che lavorano nel laboratorio non avessero capito che si dovevano evitare movimenti veloci e bruschi quando si spostano i neuroni appena prodotti", dice Peter Grutter, un professore di fisica della McGill e l'autore senior della ricerca. "Fino a quando non hanno trovato il modo giusto per portare i neuroni nel laboratorio, dal microscopio all'incubatore, dove le diramazioni dei neuroni appena create vengono lasciate crescere per 24 ore, non eravamo riusciti a indurlie a comportarsi nel modo che volevamo".
A volte può essere difficile lasciar andare
Una sfida ancora più grande dell'indurre i neuroni a collegarsi in modo corretto, si è dimostrato il distacco delle connessioni di nuova costituzione dallo strumento che era stato usato per crearle, senza che si rovinassero. Alla fine, i ricercatori hanno capito come recidere il legame e conservare comunque il neurone funzionale, rilasciando le palline.
Anche se è ora possibile creare nuove connessioni neuronali, c'è ancora molto lavoro da fare.
"I collegamenti neuronali che abbiamo creato erano lunghi poco meno di 1 millimetro, ma solo perché siamo stati limitati dalle dimensioni del piatto che abbiamo usato", dice Margaret Magdesian, neuroscienziato e primo autore della ricerca, che lavorava al Montreal Neurological Institute quando la ricerca è stata effettuata. "Questa tecnica ha il potenziale di creare connessioni neuronali lunghe diversi mm, ma è chiaro che servono ulteriori studi per capire se e come queste micro-connessioni manipolate differiscono da quelle naturali".
Ricercatori della McGill sono riusciti a creare artificialmente delle connessioni neuronali funzionali che crescono oltre 60 volte più velocemente di quelle naturali. Quello che si vede nel video qui sopra è la creazione di un circuito neuronale funzionale: una parte di una estensione neuronale collegata a una piccola biglia è leggermente allungata fino a connettersi a un'altra parte del neurone.
Fonte: Katherine Gombay in McGill University (> English text) - Traduzione di Franco Pellizzari.
Riferimenti: M. H. Magdesian, G. M. Lopez-Ayon, M. Mori, D. Boudreau, A. Goulet-Hanssens, R. Sanz, Y. Miyahara, C. J. Barrett, A. E. Fournier, Y. De Koninck, P. Grutter. Rapid Mechanically Controlled Rewiring of Neuronal Circuits. Journal of Neuroscience, 2016; 36 (3): 979 DOI: 10.1523/JNEUROSCI.1667-15.2016
Copyright: Tutti i diritti di eventuali testi o marchi citati nell'articolo sono riservati ai rispettivi proprietari.
Liberatoria: Questo articolo non propone terapie o diete; per qualsiasi modifica della propria cura o regime alimentare si consiglia di rivolgersi a un medico o dietologo. Il contenuto non dipende da, nè impegna l'Associazione Alzheimer onlus di Riese Pio X. I siti terzi raggiungibili da eventuali links contenuti nell'articolo e/o dagli annunci pubblicitari sono completamente estranei all'Associazione, il loro accesso e uso è a discrezione dell'utente. Liberatoria completa qui.
Nota: L'articolo potrebbe riferire risultati di ricerche mediche, psicologiche, scientifiche o sportive che riflettono lo stato delle conoscenze raggiunte fino alla data della loro pubblicazione.














Associazione Alzheimer OdV