Un team dell'Università di Ginevra dimostra il valore delle scansioni per rilevare la presenza della proteina tau nel cervello e prevedere il declino cognitivo causato dall'Alzheimer.
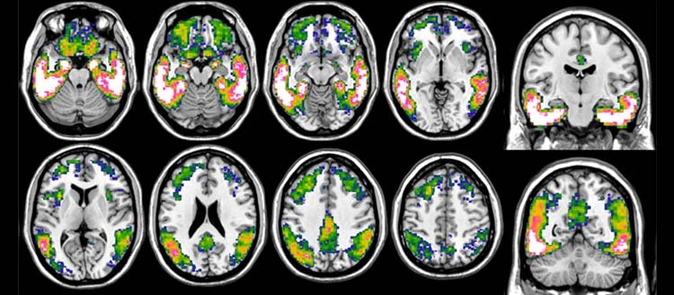
Scansione PET della tau con 18F-Flortaucipir nell'Alzheimer. Un modello prototipico di accumulo di tau, ottenuto confrontando il carico di tau nei pazienti con Alzheimer e nei controlli sani. La scala blu-bianco indica carichi tau più pronunciati, le aree rosa-bianche rappresentano quelle con il maggior accumulo. Fonte: ©UNIGE
Il morbo di Alzheimer (MA), una delle malattie neurodegenerative più comuni, porta alla perdita progressiva di memoria e autonomia. È caratterizzato dall'accumulo di proteine neurotossiche nel cervello, che formano le placche amiloidi e i grovigli tau.
A causa dello sviluppo silenzioso della patologia per decenni, la diagnosi molto precoce è della massima importanza per poter agire il più presto possibile nel processo della malattia. Un team dell'Università di Ginevra (UNIGE) e della sua Cinica Universitaria (HUG) ha dimostrato che la PET tau - una nuova tecnica di scansione che visualizza la proteina tau - può prevedere il declino cognitivo nei pazienti molto meglio delle tecniche di scansione usate di norma.
Questi risultati, pubblicati su Alzheimer's & Dementia, parlano a favore della rapida introduzione della PET tau nella routine clinica per fornire ai pazienti soluzioni precoci e individualizzate.
Oggi, uno dei principali strumenti diagnostici per il MA è la tomografia di emissione di positroni (PET), una tecnica di scansione in cui vengono iniettati traccianti per visualizzare processi patologici specifici nel cervello.
Valentina Garibotto, prof.ssa associata del dipartimento di radiologia e informatica medica nella facoltà di medicina dell'UNIGE e capo medico nella divisione di medicina nucleare e scansione molecolare dell'HUG, che ha diretto questa ricerca, spiega:
"La PET comporta l'iniezione nel paziente di traccianti radioattivi di basso livello che scompaiono in poche ore. Sono progettati per legarsi alle molecole umane che vogliamo rilevare, rendendole visibili con i tomografi PET" .
"Da due decenni abbiamo traccianti specifici per l'amiloide ed esistono da tempo traccianti per monitorare il metabolismo del glucosio, che indica la capacità del cervello di usare correttamente le sue risorse energetiche. Tuttavia, il MA è complesso e queste due tecniche non sono sufficienti per fornire tutte le risposte".
Confrontare le tecniche di scansione
Il flortaucipir è un radiotracciante che si lega alla proteina tau, sviluppato da una società farmaceutica e approvato dalla FDA nel 2020. Consente il rilevamento dell'accumulo di tau e la sua distribuzione nel cervello per valutare con precisione il suo ruolo nella manifestazione clinica della malattia.
Gli scienziati dell'UNIGE e dell'HUG volevano determinare quale modalità di scansione (PET amiloide, PET del metabolismo del glucosio o PET tau) può prevedere meglio il futuro declino cognitivo causato dal MA. Circa 90 partecipanti sono stati reclutati al Centro della Memoria dell'HUG.
"I nostri risultati mostrano che mentre le varie misure PET erano tutte associate alla presenza di sintomi cognitivi, confermando il loro ruolo di forti indicatori del MA, la PET tau era la migliore per prevedere il tasso di declino cognitivo, anche negli individui con sintomi minimi", riassume Cecilia Boccalini, dottoranda del team della prof.ssa Garibotto e prima autrice di questo studio.
Rilevare le singole varianti
Le placche amiloidi non sono necessariamente accompagnate da perdita cognitiva o di memoria, invece la presenza della tau va di pari passo con i sintomi clinici. La sua assenza o presenza è il principale fattore che determina se la condizione di un paziente rimane stabile o si deteriora rapidamente.
È stato più difficile sviluppare tecniche di scansione per visualizzare la tau, principalmente a causa della sua concentrazione più bassa e della struttura particolarmente complessa. Valentina Garibotto sottolinea:
"Questa svolta è cruciale per una migliore gestione del MA. Recentemente, i farmaci che puntano l'amiloide hanno mostrato risultati positivi. Nuovi farmaci che puntano la proteina tau sembrano promettenti.
"Rilevando la patologia il più presto possibile, prima che il cervello sia ulteriormente danneggiato e grazie ai nuovi trattamenti, speriamo di avere un impatto maggiore sul futuro dei pazienti e sulla qualità della loro vita.
"Allo stesso modo, stiamo iniziando a mappare la distribuzione della tau per capire come la sua posizione nelle diverse regioni del cervello influenza i sintomi".
In effetti, le cause e le diverse fasi della malattia si stanno dimostrando molto meno uniformi di quanto si pensava finora e dobbiamo capire meglio la suscettibilità individuale agli stessi fenomeni. Questi risultati sono un argomento forte a favore dell'incorporazione della PET tau nella valutazione clinica di routine per valutare la prognosi individuale e scegliere la strategia terapeutica più appropriata per ciascun paziente.
Fonte: Materials provided by Université de Genève (> English) - Traduzione di Franco Pellizzari.
Riferimenti: C Boccalini, [+8, V Garibotto. The impact of tau deposition and hypometabolism on cognitive impairment and longitudinal cognitive decline. Alz & Dem, 2023, DOI
Copyright: Tutti i diritti di testi o marchi inclusi nell'articolo sono riservati ai rispettivi proprietari.
Liberatoria: Questo articolo non propone terapie o diete; per qualsiasi modifica della propria cura o regime alimentare si consiglia di rivolgersi a un medico o dietologo. Il contenuto non rappresenta necessariamente l'opinione dell'Associazione Alzheimer OdV di Riese Pio X ma solo quella dell'autore citato come "Fonte". I siti terzi raggiungibili da eventuali collegamenti contenuti nell'articolo e/o dagli annunci pubblicitari sono completamente estranei all'Associazione, il loro accesso e uso è a discrezione dell'utente. Liberatoria completa qui.
Nota: L'articolo potrebbe riferire risultati di ricerche mediche, psicologiche, scientifiche o sportive che riflettono lo stato delle conoscenze raggiunte fino alla data della loro pubblicazione.














Associazione Alzheimer OdV