Uno studio suggerisce che i medici che trattano la demenza dovrebbero cercare perdite di liquido cerebrospinale, una causa curabile di una condizione altrimenti incurabile.
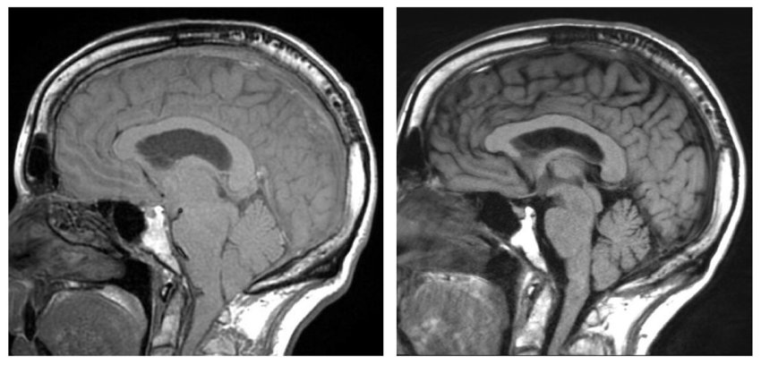
A sinistra scansione di cervello afflosciato, a destra soluzione post-operatoria della flessione
Un nuovo studio eseguito al Cedars-Sinai di Los Angeles suggerisce che alcuni pazienti diagnosticati con la variante comportamentale della demenza frontotemporale (bvFTD, behavioral-variant frontotemporal dementia), una condizione incurabile che deruba i pazienti della capacità di controllare il loro comportamento e far fronte alla vita quotidiana, potrebbero invece avere una perdita di liquido cerebrospinale, che è spesso curabile.
I ricercatori affermano che questa scoperta, pubblicata su Alzheimer's & Dementia, può indicare la strada per una cura. Wouter Schievink MD, direttore del programma di neurochirurgia microvascolare e perdita di liquido cerebrospinale, e professore di neurochirurgia al Cedars-Sinai, ha affermato:
"Molti di questi pazienti sperimentano cambiamenti cognitivi, comportamentali e di personalità così gravi da essere arrestati o collocati in una casa di cura. Se hanno la variante comportamentale della demenza frontotemporale con una causa sconosciuta, non è disponibile alcun trattamento. Ma il nostro studio mostra che i pazienti con perdite di liquido cerebrospinale possono essere curati, se riusciamo a trovare la fonte della perdita".
Il liquido cerebrospinale (CSF) circola dentro e intorno al cervello e al midollo spinale per ammortizzare eventuali traumi e ridurre le lesioni. Quando questo fluido fuoriesce nel corpo, il cervello può afflosciarsi, causando sintomi di demenza. Schievink ha affermato che molti pazienti con afflosciamento del cervello (brain sagging), che può essere rilevato dalla risonanza magnetica, restano senza diagnosi e consiglia ai medici di dare una seconda occhiata ai pazienti con sintomi rivelatori.
"Un radiologo, neurochirurgo o neurologo ben informato dovrebbe controllare di nuovo la risonanza magnetica del paziente per assicurarsi che non ci siano prove di afflosciamento del cervello", ha detto Schievink.
I medici possono anche chiedere dell'eventuale storia di mal di testa gravi che migliorano quando il paziente si sdraia, sonnolenza significativa anche dopo un sonno notturno adeguato e se il paziente ha mai avuto una diagnosi di 'malformazione cerebrale di Chiari', una condizione in cui il tessuto cerebrale si estende nel canale spinale.
"L'afflosciamento del cervello", ha detto Schievink, "viene spesso scambiato per una «malformazione di Chiari»".
Anche quando viene rilevato un afflosciamento del cervello, la fonte della perdita di CSF può essere difficile da individuare. Quando il fluido perde attraverso una lacerazione o una cisti nella membrana circostante, è visibile sulla scansione del mielogramma TC con l'aiuto del mezzo di contrasto.
Schievink e il suo team hanno recentemente scoperto un'ulteriore causa di perdita del CSF: la fistola venosa del CSF. In questi casi, il fluido perde in una vena, rendendolo difficile da vedere su un mielogramma TC di routine. Per rilevare queste perdite, i tecnici devono usare una TC specializzata e osservare il mezzo di contrasto in movimento mentre scorre attraverso il liquido cerebrospinale.
In questo studio, gli investigatori hanno usato questa tecnica di scansione su 21 pazienti con cervello afflosciato e sintomi di bvFTD, scoprendo fistole venose CSF in 9 di questi pazienti. A tutti i 9 pazienti sono state chiuse chirurgicamente le fistole e l'afflosciamento del cervello e i sintomi relativi si sono completamente invertiti. Keith L. Black MD, presidente del Dipartimento di Neurochirurgia e docente di neuroscienze al Cedars-Sinai, ha affermato:
"Questo è un campo di studio in rapida evoluzione e i progressi nella tecnologia di scansione hanno notevolmente migliorato la nostra capacità di rilevare le fonti di perdita del CSF, in particolare la fistola venosa nel CSF. Questa scansione specializzata non è ampiamente disponibile e questo studio suggerisce la necessità di ulteriori ricerche per migliorare i tassi di rilevamento e guarigione dei pazienti".
I restanti 12 partecipanti allo studio, ai quali non è stato possibile identificare le perdite, sono stati trattati con terapie non mirate, progettate per alleviare l'afflosciamento del cervello, come i sistemi impiantabili per infondere CSF nel paziente. Tuttavia, solo tre di questi pazienti hanno trovato sollievo dai loro sintomi.
"È necessario compiere grandi sforzi per migliorare il tasso di rilevamento della perdita di CSF in questi pazienti", ha affermato Schievink. "Abbiamo sviluppato trattamenti non mirati per i pazienti in cui non è possibile rilevare perdite, ma come dimostra il nostro studio, questi trattamenti sono molto meno efficaci della correzione chirurgica mirata della perdita".
Fonte: Cedars-Sinai Medical Center (> English) - Traduzione di Franco Pellizzari.
Riferimenti: WI Schievink, ...[+6], M Nuño. The reversible impairment of behavioral variant frontotemporal brain sagging syndrome: Challenges and opportunities. A&D: Trans Res & Clin Interv, 2022, DOI
Copyright: Tutti i diritti di testi o marchi inclusi nell'articolo sono riservati ai rispettivi proprietari.
Liberatoria: Questo articolo non propone terapie o diete; per qualsiasi modifica della propria cura o regime alimentare si consiglia di rivolgersi a un medico o dietologo. Il contenuto non rappresenta necessariamente l'opinione dell'Associazione Alzheimer OdV di Riese Pio X ma solo quella dell'autore citato come "Fonte". I siti terzi raggiungibili da eventuali collegamenti contenuti nell'articolo e/o dagli annunci pubblicitari sono completamente estranei all'Associazione, il loro accesso e uso è a discrezione dell'utente. Liberatoria completa qui.
Nota: L'articolo potrebbe riferire risultati di ricerche mediche, psicologiche, scientifiche o sportive che riflettono lo stato delle conoscenze raggiunte fino alla data della loro pubblicazione.













Associazione Alzheimer OdV