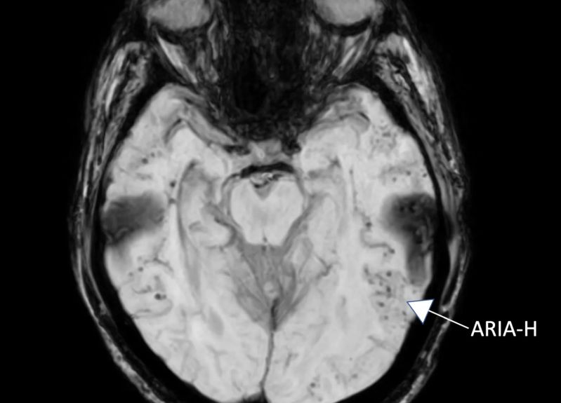
Risonanza magnetica a suscettibilità ponderata durante il mio episodio di ARIA del 2017, che mostra microemorragie bilaterali multiple nei lobi temporali. Le microemorragie (ARIA-H) appaiono come punti neri, per lo più raggruppati attorno ai vasi sanguigni. Sono strettamente correlati se non identici alle microemorragie associate all'angiopatia amiloide cerebrale. Fonte: Dan Gibbs
All'inizio della mia carriera di neurologo, all'incirca intorno al 1990, mi è stato chiesto il consulto per una donna di 62 anni precedentemente sana, che aveva avuto una grande emorragia cerebrale. Non aveva apparenti fattori di rischio come ipertensione, aneurismi o anticoagulanti come il warfarin e non aveva un deterioramento cognitivo che suggeriva la demenza.
Ha avuto una buona ripresa dall'emorragia cerebrale ed è stata in grado di tornare al suo normale lavoro di segretaria. Due anni dopo ha avuto un secondo episodio di sanguinamento in un lobo diverso del cervello. Questa volta ha avuto problemi cognitivi che non sono migliorati. Un angiogramma è stato irrilevante.
Un prelievo spinale ha mostrato molte proteine e globuli bianchi nel liquido spinale, che suggeriscono la possibilità di infiammazione nel cervello, quindi ho raccomandato il trattamento con steroidi, pensando che potesse avere vasculite del sistema nervoso centrale (SNC) primario, una malattia infiammatoria dei vasi sanguigni cerebrali. Gli steroidi non hanno aiutato e si è progressivamente compromessa e è morta un anno dopo. L'autopsia ha rivelato che aveva angiopatia amiloide cerebrale (CAA) e anche molte placche amiloidi e grovigli neurofibrillari in tutto il cervello, coerenti con il morbo di Alzheimer (MA).
La CAA è la malattia vascolare del cervello in cui l'amiloide-beta (Aβ) si deposita nelle pareti delle piccole arterie e capillari. L'Aβ sostituisce le cellule muscolari lisce, causando ispessimento e rigidità della parete del vaso che provocano perdite e riduzione del flusso sanguigno in questi piccoli vasi sanguigni. Si vedono piccole emorragie e piccoli ictus che circondano i vasi sanguigni colpiti.
Negli anziani, la CAA è una delle principali cause di sanguinamento nei vari lobi del cervello. Può verificarsi sporadicamente o nelle famiglie. C'è spesso, ma non sempre si sovrappone al MA. Nella CAA, l'Aβ nelle pareti dei vasi è di solito il frammento di peptidi più corto, Aβ40 (40 aminoacidi di lunghezza), rispetto a quello delle placche amiloidi del MA, l'Aβ42. L'evidenza patologica di CAA si trova in oltre la metà dei cervelli che hanno le placche amiloidi e i grovigli neurofibrillari del MA.
Sebbene il primo sintomo di CAA possa essere un'emorragia cerebrale catastrofica in un paziente anziano, molto prima possono verificarsi cambiamenti della personalità, in particolare apatia. Come nel MA, l'apatia nella CAA sembra essere causata da danni ai circuiti neurali della corteccia prefrontale. In assenza di sanguinamenti importanti o biopsia, la CAA è sorprendentemente difficile da rilevare in vita.
Attualmente il test migliore è un protocollo MRI chiamato 'scansione a suscettibilità ponderata' (SWI, susceptibility weighted imaging), una sequenza particolarmente sensibile al sangue e ad altri composti contenenti ferro che distorcono il campo magnetico locale. Sebbene la SWI-MRI non sia interamente specifica per il sangue, la distribuzione di questi punti neri attorno ai vasi sanguigni si correla molto bene con la presenza all'autopsia delle microemorragie associate alla CAA.
Sebbene al momento la MRI-SWI sia il miglior test per la CAA, può rilevarla solo se ci sono perdite di sangue da questi vasi sanguigni danneggiati. Anche la posizione e il numero delle cosiddette 'iperintensità della materia bianca', come si vede sulle immagini della FLAIR MRI, possono supportare la diagnosi. La sensibilità di queste tecniche di risonanza magnetica per il rilevamento della CAA è probabilmente circa la metà di quella dell'esame del cervello all'autopsia. Non possiamo ancora rilevare le prime fasi della CAA durante la vita.
Pur non essendoci alcun trattamento per CAA, le persone con la malattia hanno un aumento del rischio di sanguinamento grave nel cervello. Ai pazienti con una storia nota o persino sospetta di CAA, credo che non debbano essere somministrati anticorpi monoclonali anti-amiloide come il lecanemab.
Le persone che hanno avuto ARIA-H (anomalie di scansione correlate all'amiloide, di tipo microemorragia) durante il trattamento con un anticorpo monoclonale anti-amiloide possono avere CAA e dovrebbero essere attentamente monitorate con MRI se il farmaco continua. Dovrebbe anche essere usata cautela nell'uso di anticoagulanti come il warfarin o l'attivatore tessutale del plasminogeno (t-PA) poiché possono aumentare la possibilità di un'emorragia potenzialmente fatale in chi ha CAA.
Fonte: Daniel Gibbs in A Tattoo On My Brain (> English) - Traduzione di Franco Pellizzari.
Copyright: Tutti i diritti di testi o marchi inclusi nell'articolo sono riservati ai rispettivi proprietari.
Liberatoria: Questo articolo non propone terapie o diete; per qualsiasi modifica della propria cura o regime alimentare si consiglia di rivolgersi a un medico o dietologo. Il contenuto non rappresenta necessariamente l'opinione dell'Associazione Alzheimer OdV di Riese Pio X ma solo quella dell'autore citato come "Fonte". I siti terzi raggiungibili da eventuali collegamenti contenuti nell'articolo e/o dagli annunci pubblicitari sono completamente estranei all'Associazione, il loro accesso e uso è a discrezione dell'utente. Liberatoria completa qui.
Nota: L'articolo potrebbe riferire risultati di ricerche mediche, psicologiche, scientifiche o sportive che riflettono lo stato delle conoscenze raggiunte fino alla data della loro pubblicazione.











Associazione Alzheimer OdV