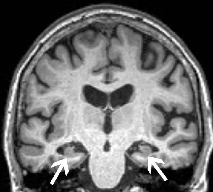
La risonanza cerebrale di una donna di 72 anni mostra la perdita di volume dell'ippocampo (frecce). La paziente aveva tutte e tre le caratteristiche (perdita del volume degli ippocampi, Apoe4 e ansia) che lo studio ha trovato associate al passaggio dal lieve decadimento cognitivo alla demenza. Fonte: RSNA
L'ansia è associata a un aumento del tasso di progressione dal lieve deterioramento cognitivo (MCI, mild cognitive impairment) al morbo di Alzheimer (MA), secondo uno studio presentato al meeting annuale della Radiological Society of North America (RSNA).
Il MA rappresenta una crisi grave di salute pubblica in tutto il mondo, con un numero più che doppio di decessi per la malattia dal 2000, rendendola al momento la 5a causa di morte tra gli over-65 negli Stati Uniti.
Molte persone con MA soffrono dapprima di MCI, un declino delle capacità cognitive, come la memoria e le capacità di pensiero, che è più rapido di quello normalmente associato all'invecchiamento. L'ansia è osservata spesso nei pazienti con MCI, sebbene il suo ruolo nella progressione della malattia non sia ben compreso.
"Sappiamo che la perdita di volume in alcune aree del cervello è un fattore che predice la progressione verso il MA", ha detto l'autrice senior dello studio Maria Vittoria Spampinato MD, prof.ssa di radiologia alla Medical University of South Carolina (MUSC) di Charleston. "In questo studio, volevamo vedere se l'ansia ha un effetto sulla struttura cerebrale, o se l'effetto dell'ansia è indipendente dalla struttura cerebrale nel favorire la progressione della malattia".
Il gruppo di studio comprendeva 339 pazienti, età media di 72 anni, della 2a coorte Alzheimer's Disease Neuroimaging Initiative. Ogni persona aveva una diagnosi di base di MCI; 72 sono passati al MA, mentre 267 sono rimasti stabili.
I ricercatori hanno eseguito la risonanza magnetica cerebrale per determinare i volumi di base dell'ippocampo e della corteccia entorinale, due aree importanti per la formazione dei ricordi. Hanno anche testato la presenza dell'allele ApoE4, il fattore di rischio genetico più diffuso per il MA. L'ansia è stata misurata con indagini cliniche consolidate.
Come previsto, i pazienti che sono progrediti al MA avevano volumi significativamente inferiori nell'ippocampo e nella corteccia entorinale e una maggiore frequenza dell'allele ApoE4. In particolare, però, i ricercatori hanno scoperto che l'ansia era associata in modo indipendente al declino cognitivo.
"I pazienti con MCI e sintomi di ansia hanno sviluppato il MA più velocemente rispetto agli individui senza ansia, indipendentemente dal fatto che avessero un fattore di rischio genetico del MA o una perdita di volume cerebrale", ha detto la prima autrice Jenny Ulber, dottoranda della MUSC.
Il legame tra i sintomi di ansia e una progressione più rapida verso il MA offre un'opportunità per migliorare l'individuazione e la gestione dei pazienti con MCI iniziale, hanno detto i ricercatori.
"Dobbiamo capire meglio l'associazione tra disturbi d'ansia e declino cognitivo", ha detto la dott.ssa Spampinato. "Non sappiamo ancora se l'ansia è un sintomo - in altre parole, la loro memoria sta peggiorando e diventano ansiosi - o se l'ansia contribuisce al declino cognitivo. Se in futuro potessimo scoprire che è l'ansia a causare effettivamente la progressione, allora dovremmo individuare in modo più aggressivo i disturbi d'ansia negli anziani".
"La popolazione geriatrica viene regolarmente sottoposta a test per la depressione in molti ospedali, ma forse questa popolazione vulnerabile dovrebbe essere valutata anche per i disturbi d'ansia", ha aggiunto la Ulber. "Gli individui di mezza età e gli anziani con un livello alto di ansia possono trarre beneficio da un intervento, sia esso farmacologico o una terapia cognitivo-comportamentale, con l'obiettivo di rallentare il declino cognitivo".
Lo studio si è basato su scansioni MRI eseguite in un determinato momento. Per la ricerca futura, il team vorrebbe studiare le risonanze magnetiche ottenute dopo la scansione iniziale per comprendere meglio la connessione tra ansia e struttura cerebrale.
"Ora siamo interessati a osservare i cambiamenti nel tempo per vedere se l'ansia ha un effetto, in un modo o in un altro, sulla velocità con cui progredisce il danno cerebrale", ha detto la dott.ssa Spampinato. "Daremo anche uno sguardo più da vicino alle differenze di genere nell'associazione tra ansia e declino cognitivo".
Fonte: Radiological Society of North America via EurekAlert! (> English) - Traduzione di Franco Pellizzari.
Copyright: Tutti i diritti di testi o marchi inclusi nell'articolo sono riservati ai rispettivi proprietari.
Liberatoria: Questo articolo non propone terapie o diete; per qualsiasi modifica della propria cura o regime alimentare si consiglia di rivolgersi a un medico o dietologo. Il contenuto non rappresenta necessariamente l'opinione dell'Associazione Alzheimer onlus di Riese Pio X ma solo quella dell'autore citato come "Fonte". I siti terzi raggiungibili da eventuali collegamenti contenuti nell'articolo e/o dagli annunci pubblicitari sono completamente estranei all'Associazione, il loro accesso e uso è a discrezione dell'utente. Liberatoria completa qui.
Nota: L'articolo potrebbe riferire risultati di ricerche mediche, psicologiche, scientifiche o sportive che riflettono lo stato delle conoscenze raggiunte fino alla data della loro pubblicazione.

















Associazione Alzheimer OdV