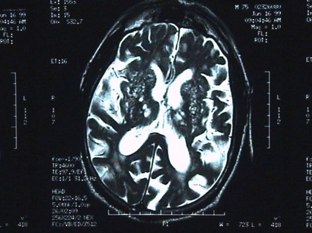
I punti bianchi, medi e piccoli, rappresentano innumerevoli ictus che causano la demenza vascolare (Fonte: Budson & Solomon, 2016)
Gli ictus, chiamati anche malattia vascolare o cerebrovascolare, avvengono quando si blocca [o si rompe] un'arteria che distribuisce il sangue nel cervello; quella parte del cervello non riceve abbastanza sangue [o ne è invasa] e muore.
Poiché il problema è legato ai vasi sanguigni, gli ictus sono spesso chiamati 'malattia vascolare' o talvolta 'malattia cerebrovascolare' per enfatizzare il problema con i vasi sanguigni del cervello.
Sebbene individui e membri della famiglia notino di solito gli ictus più importanti provocati dal blocco delle grandi arterie, i piccoli ictus derivanti dal blocco delle piccole e microscopiche arterie nel cervello sono in genere silenziosi. Per vedere questi ictus nei piccoli capillari è necessario uno studio di scansione del cervello con risonanza magnetica o TAC.
È solo quando si accumulano molti di questi piccoli ictus che insorgono problemi con il pensiero e la memoria. La maggior parte delle persone ha alcuni piccoli ictus tra i 70 e gli 80 anni di età. Questi ictus sono generalmente troppo piccoli per causare la demenza da soli, ma possono peggiorare il pensiero e la memoria quando sono presenti altri disturbi, come il morbo di Alzheimer (MA).
Alcune persone hanno molti più di questi piccoli ictus o possono avere un numero di ictus medi o grandi. Quando gli ictus sono la causa principale dei problemi di pensiero e di memoria, usiamo il termine 'demenza vascolare' se il funzionamento quotidiano è compromesso e 'deterioramento cognitivo vascolare' se la funzionalità quotidiana è normale.
Se il tuo caro ha uno dei fattori di rischio nell'elenco sottostante, ha un rischio maggiore di ictus. La buona notizia è che, con l'eccezione dell'età, puoi aiutarlo a prendere in carico la sua vita e ridurre il rischio di ictus. Collabora con il suo medico per assicurarti che le sue condizioni mediche siano sotto controllo.
Se fuma, incoraggialo a smettere oggi. Aiutalo a fare esercizio fisico per migliorare la salute, a seguire una dieta sana e a mantenere un peso sano. Se beve alcolici, assicurati che beva con moderazione: non più di un bicchierino al giorno.
Principali fattori di rischio dell'ictus
Fattori medici
- Ictus precedente
- Segnale di avvertimento dell'ictus precedente (attacco ischemico transitorio)
- Malattia del cuore
- Malattia di altri vasi sanguigni del corpo
- Diabete
- Colesterolo alto
- Pressione alta.
Fattori di stile di vita
- Fumo
- Sedentarietà
- Dieta malsana
- Obesità
- Alcool, più di 1 bicchiere al giorno
Fattori incontrollabili
- Vecchiaia: dopo i 55 anni il rischio di ictus raddoppia ogni decennio
È comune avere sia il MA che piccoli ictus cerebrali dopo i 70 anni. Quando gli ictus sono l'unica causa di problemi mentali e di memoria, di solito ci sono segni clinicamente evidenti dei grandi vasi che influenzano forza, sensazione, equilibrio, deambulazione, linguaggio o visione, nelle settimane, mesi o anni precedenti la demenza.
Quando non c'è storia o sospetto di ictus, e ictus silenziosi si trovano incidentalmente sulla risonanza magnetica o TAC, la causa del deterioramento cognitivo è in genere degli ictus dei piccoli vasi, più MA o un altro disturbo.
Domanda: Hai visto il referto della risonanza magnetica della persona cara che dice che ha "iperintensità T2 sparse coerenti con la malattia ischemica microvascolare". Che cosa significa?
Risposta: Questo è il modo con cui un dottore dice che c'è qualcosa nella scansione MRI che assomiglia a piccoli ictus dei piccoli vasi capillari.
D: Il tuo caro non ha mai avuto un ictus, ma il medico dice che è successo e può vederlo sulla risonanza magnetica. Come può essere?
A: Molti ictus, specialmente quelli piccoli, sono 'silenti', il che significa che non causano alcun sintomo evidente.
Fonte: Andrew Budson MD, professore di neurologia dell'Università di Boston, e della Harvard Medical School.
Pubblicato su Psychology Today (> English text) - Traduzione di Franco Pellizzari.
Copyright: Tutti i diritti di eventuali testi o marchi citati nell'articolo sono riservati ai rispettivi proprietari.
Liberatoria: Questo articolo non propone terapie o diete; per qualsiasi modifica della propria cura o regime alimentare si consiglia di rivolgersi a un medico o dietologo. Il contenuto non rappresenta necessariamente l'opinione dell'Associazione Alzheimer onlus di Riese Pio X ma solo quella dell'autore citato come "Fonte". I siti terzi raggiungibili da eventuali collegamenti contenuti nell'articolo e/o dagli annunci pubblicitari sono completamente estranei all'Associazione, il loro accesso e uso è a discrezione dell'utente. Liberatoria completa qui.
Nota: L'articolo potrebbe riferire risultati di ricerche mediche, psicologiche, scientifiche o sportive che riflettono lo stato delle conoscenze raggiunte fino alla data della loro pubblicazione.













Associazione Alzheimer OdV