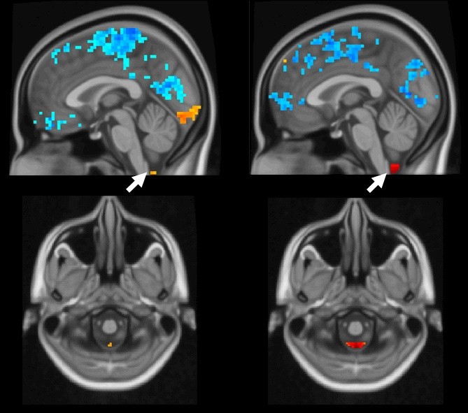
Nel cervello umano, in presenza di attività (blu), il fluido spinale cerebrale si muove (arancione e rosso). A sinistra si vede un accoppiamento più debole che indica l'Alzheimer, a destra un accoppiamento sano (Fonte: Xiao Liu)
I ricercatori della Penn State potrebbero aver scoperto un potenziale marcatore per valutare clinicamente il rischio di morbo di Alzheimer (MA) negli umani, attraverso scansioni non invasive. Secondo il loro studio, pubblicato il 1° giugno su PLOS Biology, questa scoperta può avere implicazioni per la diagnosi e il trattamento della malattia che causa un declino cognitivo significativo.
Usando dati della risonanza magnetica funzionale (fMRI), gli scienziati hanno scoperto che l'attività cerebrale si accoppia al movimento del fluido cerebrospinale negli esseri umani. La fMRI misura l'attività cerebrale di una persona in modo non invasivo, da un segnale dipendente dal livello di ossigeno del sangue (BOLD, blood oxygen level-dependent); il sangue si sposta nella parte attiva del cervello, illuminandosi mentre si muove. Negli individui sani, una volta che il segnale BOLD lampeggia globalmente in tutto il cervello, il fluido cerebrospinale fluisce dalla base del cervello in rapida successione.
"Più debole è l'abbinamento tra segnale globale BOLD e flusso del fluido cerebrospinale, maggiore è il rischio di MA", ha dichiarato Xiao Liu, assistente professore nel Dipartimento di Ingegneria Biomedica e nell'Institute of Computational and Data Sciences, che ha guidato lo studio. "Questo potrebbe essere un potenziale marcatore di scansione per le malattie neurodegenerative, nonché un approccio di valutazione non invasivo per il sistema glinfatico scoperto di recente, che aiuta il cervello a disfarsi delle tossine".
Descritto per la prima volta nel 2012, il sistema glinfatico agisce come un sistema di gestione dei rifiuti, lavando via le proteine e altri accumuli che possono ostacolare l'attività cerebrale. La componente critica del sistema è il flusso del fluido cerebrospinale, secondo Liu, la cui ricerca suggerisce che è innescato dall'attivazione del segnale BOLD globale. Nel sonno, il sistema glinfatico può accelerare significativamente i suoi processi di pulizia.
"Abbiamo visto l'accoppiamento più forte in soggetti con un sonno leggero sulla base di altre ricerche in corso nel laboratorio", ha detto Liu che, per inciso, con il suo laboratorio non stava studiando specificamente l'accoppiamento nel sonno, ma comunque ha definito interessante quanto succedeva. "Sappiamo che il sonno può promuovere il processo del sistema glinfatico e aiutare a pulire le tossine del cervello. Sembra che potrebbe farlo attraverso questo meccanismo di accoppiatura".
Per comprendere meglio le sfumature del sonno e la segnalazione accoppiata, Liu ha collaborato con Orfeu Buxton, professore di salute biocomportamentale e direttore dello Sleep, Health, and Society Collaboratory alla Penn State.
"Il sistema glinfatico è altamente correlato al sonno; lo sappiamo dalla ricerca intensa condotta negli studi sugli animali", ha dichiarato Buxton, coautore dello studio. "Questo nuovo lavoro espande la base di evidenze limitate per valutare l'importanza di questo sistema negli esseri umani. Questo modello, basato su scansioni non invasive, potenzialmente può essere applicato a chiunque in qualsiasi popolazione, per valutare l'attività del sistema glinfatico".
Questa ricerca rafforza l'idea emergente che una mancanza di sonno, un problema comune per le persone con MA, potrebbe contribuire a questo ridotto accoppiamento, hanno detto Liu e Buxton. Anche se non è chiaro se i problemi del sonno sono una causa o un sintomo del MA, la conclusione dà supporto a un altro studio internazionale recente che aveva scoperto che le persone che dormono 6 ore o meno a notte avevano circa il 30% in più di probabilità di ricevere una diagnosi di demenza (un altro sintomo comune nelle persone con MA), rispetto a quelle che dormivano 7 o più ore a notte.
"Il sonno è complicato, ma questa può essere una strada per iniziare a capire come i problemi del sonno e il MA si influenzano l'un l'altro", ha detto Buxton.
Oltre a identificare e capire come funziona il meccanismo accoppiato, Liu ha detto che la connessione potrebbe anche essere un modo per iniziare a trattare il disturbo.
"Potenzialmente, potremmo sviluppare una terapia che aumenta l'attività cerebrale, potenziando il flusso del fluido cerebrospinale per eliminare le tossine in modo più efficiente e regolare", ha detto Liu. "È puramente teorico a questo punto, ma vale la pena indagare su nuovi approcci".
Il team ha utilizzato i dati umani raccolti dall'Alzheimer’s Disease Neuroimaging Initiative (ADNI), uno studio longitudinale e multi-sito lanciato nel 2004 per indagare il rilevamento precoce e il monitoraggio del MA e facilitare la condivisione dei dati tra i ricercatori. Attualmente, l'iniziativa comprende scienziati di 59 centri di ricerca negli Stati Uniti e in Canada, che hanno raccolto vari dati su quasi 2.000 soggetti umani. Meno di 150 soggetti rientrano nei parametri dello studio di Liu di informazioni fMRI longitudinali sul BOLD e sui movimenti del fluido cerebrospinale.
"Stiamo continuando a indagare su questo collegamento in altri disturbi cognitivi, nonché in altri tipi di dati, come la genetica e altri approcci di scansione", ha detto Liu.
Fonte: PLOS One via Science Daily (> English) - Traduzione di Franco Pellizzari.
Riferimenti: Feng Han, Jing Chen, Aaron Belkin-Rosen, Yameng Gu, Liying Luo, Orfeu M. Buxton, Xiao Liu. Reduced coupling between cerebrospinal fluid flow and global brain activity is linked to Alzheimer disease–related pathology. PLOS Biology, 2021, -DOI
Copyright: Tutti i diritti di testi o marchi inclusi nell'articolo sono riservati ai rispettivi proprietari.
Liberatoria: Questo articolo non propone terapie o diete; per qualsiasi modifica della propria cura o regime alimentare si consiglia di rivolgersi a un medico o dietologo. Il contenuto non rappresenta necessariamente l'opinione dell'Associazione Alzheimer OdV di Riese Pio X ma solo quella dell'autore citato come "Fonte". I siti terzi raggiungibili da eventuali collegamenti contenuti nell'articolo e/o dagli annunci pubblicitari sono completamente estranei all'Associazione, il loro accesso e uso è a discrezione dell'utente. Liberatoria completa qui.
Nota: L'articolo potrebbe riferire risultati di ricerche mediche, psicologiche, scientifiche o sportive che riflettono lo stato delle conoscenze raggiunte fino alla data della loro pubblicazione.















Associazione Alzheimer OdV