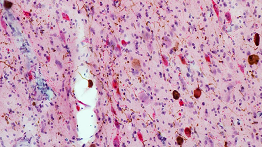
Tessuto cerebrale con Alzheimer mostra un aumento dell'accumulo di proteine tau (macchie marroni) e un minor numero di neuroni (rosso) rispetto ai tessuti sani, dimostrando che la patologia dell'Alzheimer guida la perdita selettiva di neuroni che promuovono la veglia in queste regioni. (Fonte: Grinberg lab / UCSF)
Ricercatori e caregiver hanno notato che una persona può sonnecchiare eccessivamente di giorno molto prima che inizino a manifestarsi i problemi di memoria associati al morbo di Alzheimer (MA). Studi precedenti avevano considerato questo pisolare eccessivo diurno come una compensazione per il sonno notturno scadente causato dalle disfunzioni correlate al MA nelle regioni cerebrali che promuovono il sonno, mentre altri hanno sostenuto che i problemi stessi del sonno contribuiscono alla progressione della malattia.
Ma ora gli scienziati della University of California di San Francisco hanno fornito una sorprendente nuova spiegazione biologica per questo fenomeno, mostrando invece che il MA attacca direttamente le regioni cerebrali responsabili della veglia durante il giorno.
La nuova ricerca (1) dimostra che queste regioni del cervello, compresa la parte del cervello colpita dalla narcolessia, sono tra le prime vittime della neurodegenerazione nel MA e quindi che un eccessivo sonnecchiare diurno (in particolare quando avviene in assenza di problemi significativi di sonno notturno) potrebbe essere un segnale di allarme precoce della malattia.
Inoltre, associando questo danno alla proteina tau, lo studio aggiunge l'evidenza che la tau contribuisce più direttamente della proteina amiloide alla degenerazione cerebrale che guida i sintomi del MA. "Il nostro lavoro ha trovato le prove definitive che le aree del cervello che promuovono la veglia degenerano a causa dell'accumulo di tau - non delle proteine amiloidi - fin dalle prime fasi della malattia", ha detto l'autrice senior dello studio Lea T. Grinberg MD/PhD, professoressa associata di neurologia e patologia del Memory and Aging Center alla UCSF e membro del Global Brain Health Institute e dell'UCSF Weill Institute for Neurosciences.
I centri di veglia degenerano nel cervello di Alzheimer
Nel nuovo studio, pubblicato il 12 agosto 2019, in Alzheimer’s and Dementia, il primo autore Jun Oh, associato di ricerca del laboratorio Grinberg, e i colleghi, hanno misurato con precisione la patologia del MA, i livelli di proteine tau e il numero di neuroni in tre regioni cerebrali coinvolte nella promozione della veglia di 13 malati di MA deceduti e 7 soggetti di controllo sani, ottenuti dalla banca del cervello delle malattie neurodegenerative dell'UCSF.
Rispetto al cervello sano, Oh e i colleghi hanno scoperto che il cervello dei pazienti di MA aveva un accumulo significativo di tau in tutti e tre i centri cerebrali studiati che promuovono la veglia: il locus coeruleus (LC), l'area ipotalamica laterale (LHA) e il nucleo tuberomammillare (TMN), e che queste regioni avevano perso fino al 75% dei loro neuroni.
"È straordinario perché non è solo un singolo nucleo cerebrale che sta degenerando, ma l'intera rete di promozione della veglia", ha detto Oh. "Fondamentalmente questo significa che il cervello non ha modo di compensare, perché tutti questi tipi di cellule funzionalmente correlate vengono distrutti allo stesso tempo".
Oh e colleghi hanno anche studiato campioni di cervello di 7 pazienti con paralisi sopranucleare progressiva (PSP) e malattia corticobasale (CBD), due forme distinte di demenza neurodegenerativa causata dall'accumulo di tau. Contrariamente ai cervelli con MA, i neuroni che promuovono la veglia sembrano essere risparmiati nei cervelli PSP e CBD, nonostante ci siano livelli comparabili di accumulo di tau in questi campioni di tessuto. "Sembra che la rete di promozione della veglia sia particolarmente vulnerabile nel MA", ha detto Oh. "Capire perché questo succede è una cosa che dobbiamo seguire nella ricerca futura".
Gli studi puntano al ruolo della Tau nei sintomi del MA
I nuovi risultati sono in linea con uno studio precedente (2) del gruppo della Grinberg che aveva dimostrato che le persone che sono morte con livelli elevati di proteina tau nel tronco encefalico - corrispondenti alle prime fasi del MA - avevano già iniziato a sperimentare cambiamenti dell'umore, come ansia e depressione, nonché aumento dei disturbi del sonno.
"Le nostre nuove prove della degenerazione legata alla tau dei centri di veglia cerebrale forniscono una convincente spiegazione neurobiologica per questi risultati", ha detto la Grinberg. "Suggerisce che dobbiamo essere molto più concentrati sulla comprensione delle prime fasi dell'accumulo di tau in queste aree del cervello nella nostra continua ricerca di trattamenti per il MA".
Questi studi aumentano il già crescente riconoscimento tra alcuni ricercatori che l'accumulo di tau è legato più strettamente ai sintomi reali del MA rispetto alla proteina amiloide più ampiamente studiata, che finora non è riuscita a fornire efficaci terapie per il MA.
Ad esempio, un altro studio recente (3) condotto dal laboratorio della Grinberg ha misurato l'accumulo di tau nel cervello dei pazienti che sono morti con diverse manifestazioni cliniche del MA, comprese le varianti che comportavano compromissione del linguaggio o problemi visivi, invece della più tipica perdita di memoria.
Hanno scoperto che le differenze nel carico di tau locale nel cervello di questi pazienti corrispondevano strettamente ai loro sintomi: i pazienti con disabilità del linguaggio avevano più accumulo di tau nelle aree cerebrali legate alla lingua che nelle regioni della memoria, mentre i pazienti con problemi visivi avevano livelli di tau più alti nelle aree visive del cervello.
"Questa ricerca si aggiunge a un corpus crescente di lavori che dimostrano che il carico di tau è probabilmente un motore diretto del declino cognitivo", ha detto la Grinberg.
Gli autori affermano che la maggiore attenzione al ruolo della tau nel MA suggerisce che i trattamenti attualmente in sviluppo al Memory and Aging Center dell'UCSF e altrove, che affrontano direttamente la patologia tau, hanno il potenziale per migliorare il sonno e altri primi sintomi del MA, oltre ad avere una chiave per rallentare il progresso complessivo della malattia.
Fonte: Nicholas Weiler in University of California San Francisco (> English text) - Traduzione di Franco Pellizzari.
Riferimenti:
- Jun Oh, Rana A. Eser, Alexander J. Ehrenberg, Dulce Morales, Cathrine Petersen, Jessica Kudlacek, Sara R. Dunlop, Panos Theofilas, Elisa D.P.F. Resende, Celica Cosme, Eduardo J.L. Alho, Salvatore Spina, Christine M. Walsh, Bruce L. Miller, William W. Seeley, Jackson C. Bittencourt, Thomas C. Neylan, Helmut Heinsen, Lea T. Grinberg. Profound degeneration of wake-promoting neurons in Alzheimer's disease. Alzheimer's & Dementia, 12 Aug 2019, DOI
- Alexander Ehrenberg, Claudia Suemoto, Elisa de Paula França Resende, Cathrine Petersen, Renata Elaine Paraizo Leite, Roberta Diehl Rodriguez, Renata Eloah de Lucena Ferretti-Rebustini, You, Jun Oh, Ricardo Nitrini, Carlos Augusto Pasqualucci, Wilson Jacob-Filho, Joel H. Kramer, Jennifer R. Michelle Gatchel, Lea T. Grinberg. Neuropathologic Correlates of Psychiatric Symptoms in Alzheimer’s Disease. Journal of Alzheimer's Disease, 7 Sep 2018, DOI
- Cathrine Petersen, Amber L. Nolan, Elisa de Paula França Resende, Zachary Miller, Alexander J. Ehrenberg, Maria Luisa Gorno-Tempini, Howard J. Rosen, Joel H. Kramer, Salvatore Spina, Gil D. Rabinovici, Bruce L. Miller, William W. Seeley, Helmut Heinsen, Lea Tenenholz Grinberg. Alzheimer’s disease clinical variants show distinct regional patterns of neurofibrillary tangle accumulation. Acta Neuropathologica, 27 June 2019, DOI
Copyright: Tutti i diritti di eventuali testi o marchi citati nell'articolo sono riservati ai rispettivi proprietari.
Liberatoria: Questo articolo non propone terapie o diete; per qualsiasi modifica della propria cura o regime alimentare si consiglia di rivolgersi a un medico o dietologo. Il contenuto non rappresenta necessariamente l'opinione dell'Associazione Alzheimer onlus di Riese Pio X ma solo quella dell'autore citato come "Fonte". I siti terzi raggiungibili da eventuali collegamenti contenuti nell'articolo e/o dagli annunci pubblicitari sono completamente estranei all'Associazione, il loro accesso e uso è a discrezione dell'utente. Liberatoria completa qui.
Nota: L'articolo potrebbe riferire risultati di ricerche mediche, psicologiche, scientifiche o sportive che riflettono lo stato delle conoscenze raggiunte fino alla data della loro pubblicazione.

















Associazione Alzheimer OdV