I benefici di una buona istruzione e dell'apprendimento permanente si estendono nella vecchiaia. I risultati iniziali di uno studio a lungo termine mostrano che alcuni processi degenerativi sono ridotti nel cervello di chi ha avuto un'istruzione universitaria. Il loro cervello è in grado di compensare meglio i limiti cognitivi e neurali legati all'età.
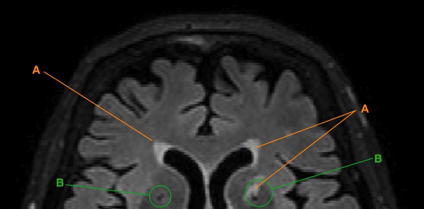
Sezione di cervello nella scansione MR, con iperintensità della materia bianca (A) e lacune (B). Fonte: UZH
Una buona istruzione è un modo eccellente per intraprendere una carriera di successo e sviluppare la tua personalità. Ma quella istruzione può avere anche un effetto positivo sul tuo cervello mentre invecchi? Un team di ricercatori dell'Università di Zurigo, guidato da Lutz Jäncke, professore di neuropsicologia, ha ora esplorato questa domanda in uno studio a lungo termine.
I ricercatori hanno seguito più di 200 anziani per oltre sette anni. I partecipanti allo studio non hanno demenza, hanno intelligenza media o sopra la media e conducono vita sociale altamente attiva. Sono stati esaminati neuroanatomicamente e neuropsicologicamente con scansioni a risonanza magnetica, a intervalli regolari.
In base ad analisi statistiche complesse, i ricercatori sono stati in grado di dimostrare che l'istruzione scolastica ha avuto un effetto positivo sulla degenerazione cerebrale correlata all'età.
Punti bianchi e buchi neri
Nella sua tesi di dottorato, la prima autrice Isabel Hotz ha usato nuovi metodi automatici, tra gli altri, per studiare le cosiddette lacune e iperintensità della materia bianca. Questi processi degenerativi si presentano come 'buchi neri' e 'punti bianchi' sulle immagini digitali.
Le ragioni di questo fenomeno non sono ancora conosciute e potrebbero aver a che fare con infarti cerebrali, piccoli e inosservati, con flusso sanguigno ridotto o con perdita di percorsi nervosi o neuroni. Ciò può limitare le prestazioni cognitive di una persona, in particolare quando la degenerazione influisce su regioni cruciali del cervello.
I risultati hanno rivelato che nel corso di sette anni, gli anziani con una formazione scolastica hanno avuto un aumento significativamente più basso di questi segni tipici della degenerazione del cervello. La Hotz riassume così:
"Inoltre, i laureati hanno elaborato più velocemente e più accuratamente le informazioni, ad esempio, quando dovevano far corrispondere lettere e numeri di schemi. Il declino delle loro prestazioni di elaborazione mentale era inferiore nel complesso".
Attingere dalle riserve
I risultati rafforzano le scoperte iniziali di altri gruppi di ricerca, che hanno trovato che l'istruzione ha un effetto positivo sull'invecchiamento del cervello. Gli studi precedenti avevano suggerito inoltre che la velocità di elaborazione mentale dipende dall'integrità delle reti neurali nel cervello. Se queste reti sono danneggiate, la velocità di elaborazione mentale diminuisce.
Anche se finora non è stato trovato nessun legame causale tra l'istruzione e la ridotta degenerazione naturale del cervello, quello che dice il neuropsicologo Lutz Jäncke sembra quanto meno probabile:
"Sospettiamo che un alto livello di istruzione porti ad un aumento delle reti neurali e cognitive nel corso della vita delle persone, e che costituisca delle riserve, per così dire. Nella vecchiaia, il loro cervello è quindi in grado di compensare meglio eventuali compromissioni che si verificano".
È anche possibile che il cervello che è attivo nell'età molto avanzata sia meno suscettibile ai processi di degenerazione, aggiunge il neuropsicologo, anche se ciò dovrebbe essere verificato nel proseguo dello studio in corso a lungo termine.
Fonte: University of Zurich (> English) - Traduzione di Franco Pellizzari.
Riferimenti: Isabel Hotz, Pascal Frédéric Deschwanden, Susan Mérillat, Franziskus Liem, Spyridon Kollias, Lutz Jäncke. Associations of subclinical cerebral small vessel disease and processing speed in non-demented subjects: A 7-year study. NeuroImage: Clinical, 2021, DOI
Copyright: Tutti i diritti di testi o marchi inclusi nell'articolo sono riservati ai rispettivi proprietari.
Liberatoria: Questo articolo non propone terapie o diete; per qualsiasi modifica della propria cura o regime alimentare si consiglia di rivolgersi a un medico o dietologo. Il contenuto non rappresenta necessariamente l'opinione dell'Associazione Alzheimer OdV di Riese Pio X ma solo quella dell'autore citato come "Fonte". I siti terzi raggiungibili da eventuali collegamenti contenuti nell'articolo e/o dagli annunci pubblicitari sono completamente estranei all'Associazione, il loro accesso e uso è a discrezione dell'utente. Liberatoria completa qui.
Nota: L'articolo potrebbe riferire risultati di ricerche mediche, psicologiche, scientifiche o sportive che riflettono lo stato delle conoscenze raggiunte fino alla data della loro pubblicazione.










Associazione Alzheimer OdV