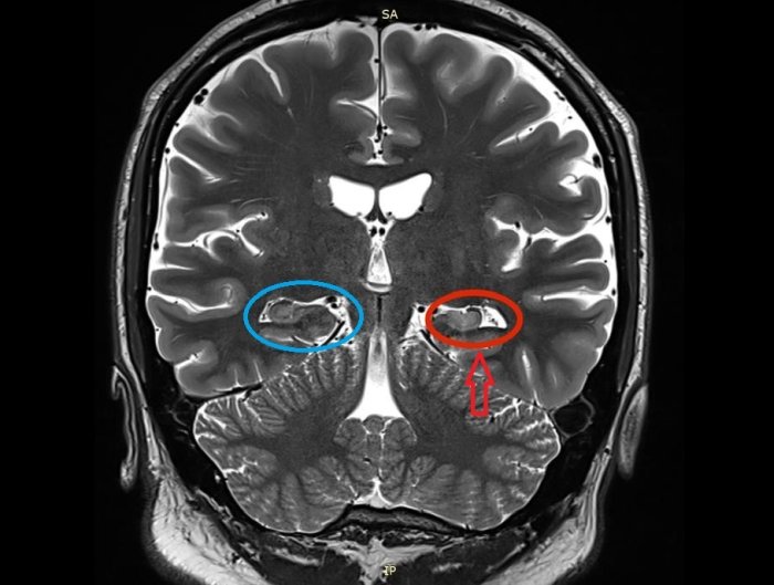
Sclerosi dell'ippocampo sinistro visibile alla risonanza magnetica (Fonte: Uhomachinky/Wikipedia)
La sclerosi dell'ippocampo è spesso associata all'epilessia nel lobo temporale. Secondo uno studio del 2015, apparso nel Journal of Neuropatology and Experiment Neurology, la sclerosi dell'ippocampo da invecchiamento (HS-aging, hippocampal sclerosis of aging) è una malattia neurodegenerativa con un'elevata morbilità che di solito colpisce le persone dagli 80 in su, ed è associata a un deterioramento cognitivo sostanziale specifico della malattia.
L'ippocampo è incorporato in profondità nel lobo temporale del cervello e ha un ruolo importante nell'apprendimento e nella memoria, oltre ad essere influenzato da vari disturbi neurologici e psichiatrici. Tuttavia, i cambiamenti patologici dell'HS-aging di solito si estendono oltre l'ippocampo.
La terminologia 'sclerosi ippocampale' è ampiamente utilizzata per descrivere varie malattie diverse, che comprendono la patologia ippocampale associata all'epilessia, all'ipossia, all'ipoglicemia, alla demenza del lobo frontotemporale e altre.
Poiché l'HS-aging provoca compromissione cognitiva simile al morbo di Alzheimer (MA), ed è di frequente confusa con esso, spesso è diagnosticata in modo errato perché i sintomi iniziali e il tasso di progressione segue fondamentalmente lo stesso schema. Tuttavia, sembra che, mentre la neurodegenerazione continua, i due disturbi si differenzino.
Considerando che il deterioramento della memoria è grave sia nell'HS-aging che nel MA, altre aree come l'elaborazione visuo-spaziale e la funzione esecutiva rimangono piuttosto inalterate nella maggior parte dei casi di HS-aging, poiché l'atrofia associata all'HS-aging è altamente localizzata nell'ippocampo e nelle strutture vicine del cervello.
La sclerosi dell'ippocampo è assodata come causa e conseguenza dell'epilessia, ma è caratterizzata non solo dalla morte delle cellule nervose, ma anche da cambiamenti nella connettività delle cellule nervose e del comportamento della rete che sono alla base dello sviluppo dell'epilessia cronica e del deficit di memoria.
Sono stati osservati anche fattori di rischio vascolari negli studi sulla sclerosi ippocampale e i ricercatori hanno scoperto che i casi di HS-aging avevano più probabilità del MA di avere una storia di ictus o ipertensione, o evidenza della malattia dei capillari. Il trattamento tipico per l'HS-aging include la prescrizione degli stessi farmaci usati per le persone con MA.
L'HS-aging colpisce più di un milione di americani. È una malattia neurodegenerativa prevalente, le cui caratteristiche genetiche, di neuroscansione, sintomatologiche e patologiche specifiche stanno solo ora iniziando a essere comprese.
E, anche se le informazioni sull'HS-aging si accumulano rapidamente, la classificazione di questa malattia non è universale. È necessaria ulteriore ricerca per differenziare meglio le diagnosi di HS-aging dal MA, e c'è la speranza di trattare o addirittura prevenire l'HS-aging e di rimuovere questo disturbo sconcertante che imita il MA.
Fonte: Dana Territo in The Advocate (> English) - Traduzione di Franco Pellizzari.
Copyright: Tutti i diritti di testi o marchi inclusi nell'articolo sono riservati ai rispettivi proprietari.
Liberatoria: Questo articolo non propone terapie o diete; per qualsiasi modifica della propria cura o regime alimentare si consiglia di rivolgersi a un medico o dietologo. Il contenuto non rappresenta necessariamente l'opinione dell'Associazione Alzheimer OdV di Riese Pio X ma solo quella dell'autore citato come "Fonte". I siti terzi raggiungibili da eventuali collegamenti contenuti nell'articolo e/o dagli annunci pubblicitari sono completamente estranei all'Associazione, il loro accesso e uso è a discrezione dell'utente. Liberatoria completa qui.
Nota: L'articolo potrebbe riferire risultati di ricerche mediche, psicologiche, scientifiche o sportive che riflettono lo stato delle conoscenze raggiunte fino alla data della loro pubblicazione.












Associazione Alzheimer OdV