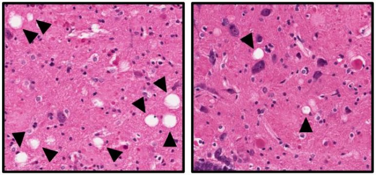
L'immagine mostra il tessuto cerebrale di ratti di Alzheimer che non sono stati trattati (a sinistra) o trattati (a destra) con il composto neuroprotettivo. I 'fori' bianchi indicati dalle frecce sono aree di morte delle cellule cerebrali e sono più numerose nei ratti non trattati. (Fonte: Pieper Lab, University of Iowa)
Il trattamento con un composto neuroprotettivo, che consente di salvare dalla morte le cellule del cervello, impedisce anche lo sviluppo di un comportamento simile alla depressione e il successivo insorgere di problemi di memoria e di apprendimento in ratti modello del Morbo di Alzheimer (MA). Sebbene il trattamento protegga gli animali da sintomi di tipo MA, non altera l'accumulo di placche amiloidi e dei grovigli neurofibrillari nei cervelli del topo.
"Sappiamo da molto tempo che il cervello delle persone con MA ha placche amiloidi e grovigli neurofibrillari di proteine tau anormali, ma non abbiamo ancora capito del tutto la causa o l'effetto nel processo di malattia", afferma l'autore senior dello studio Andrew Pieper MD/PhD, professore di psichiatria all'Università dello Iowa e direttore associato dell'Iowa Neuroscience Institute dell'università. "Il nostro studio dimostra che tenere vivi i neuroni nel cervello aiuta gli animali a mantenere una funzione neurologica normale, indipendentemente da eventi patologici precedenti nella malattia, come l'accumulo di placca amiloide e di grovigli tau".
L'MA è una condizione neurodegenerativa devastante che erode gradualmente la memoria e le abilità cognitive di una persona. [...] Oltre all'impatto sulla cognizione e sulla memoria, l'MA può anche influenzare l'umore, e molte persone sperimentano depressione e ansia prima che sia evidente il declino cognitivo. Infatti, le persone che sviluppano la depressione per la prima volta nella vita tarda hanno un rischio significativamente più alto di sviluppare l'MA.
"Le terapie tradizionali puntano le lesioni caratterizzanti l'MA, le patologie amiloide e tau. I risultati di questo studio dimostrano che proteggere semplicemente i neuroni nell'MA, senza affrontare gli eventi patologici precedenti, può essere potenzialmente una nuova ed emozionante terapia", afferma Jaymie Voorhees PhD, primo autore dello studio, pubblicato su Biological Psychiatry.
Salvare le cellule del cervello ne protegge le funzioni
Pieper e Voorhees hanno usato un composto sperimentale chiamato P7C3-S243 per impedire che morissero le cellule del cervello in ratti modello di MA. Il composto originale P7C3 è stato scoperto da Pieper e colleghi quasi dieci anni fa, e i composti basati su di esso hanno dimostrato di proteggere i neuroni neonatali e quelli maturi dalla morte in modelli animali di molte malattie neurodegenerative, comprese il Parkinson, la sclerosi laterale amiotrofica (SLA), l'ictus e le lesioni cerebrali traumatiche.
I composti del P7C3 hanno dimostrato anche di proteggere gli animali dal comportamento simile alla depressione, in risposta all'uccisione delle cellule indotta da stress nell'ippocampo, una regione del cervello critica per la regolazione dell'umore e della cognizione.
I ricercatori hanno testato il composto P7C3 in ratti modello ben consolidato dell'MA. Invecchiando, questi ratti sviluppano problemi di apprendimento e memoria che somigliano alla disfunzione cognitiva osservata nelle persone con MA. Tuttavia, il nuovo studio ha rivelato un'altra somiglianza con i pazienti di Alzheimer.
A 15 mesi di età, prima dell'inizio dei problemi di memoria, i ratti svilupparono sintomi simili alla depressione. Lo sviluppo della depressione per la prima volta in età avanzata è associato ad un rischio significativamente maggiore di sviluppare l'MA, ma questo sintomo non era stato visto in precedenza nei modelli animali della malattia.
Per tre anni Voorhees ha testato un gran numero di ratti maschi e femmine di Alzheimer e di tipo selvatico che sono stati suddivisi in due gruppi. Un gruppo ha ricevuto quotidianamente il composto P7C3 a partire dai sei mesi di età, e l'altro gruppo ha ricevuto un placebo. I ratti sono stati testati a 15 mesi e a 24 mesi di età per il comportamento di tipo depressivo e per le capacità di apprendimento e memoria.
A 15 mesi di età, tutti i ratti - sia il modello di Alzheimer che il tipo selvaggio, trattati e non trattati - avevano abilità normali di apprendimento e di memoria. Tuttavia, i ratti di Alzheimer non trattati presentavano comportamenti di tipo depressivo, mentre i ratti di Alzheimer che erano stati trattati con il composto neuroprotettivo P7C3 si comportavano come i ratti di controllo, senza comportamenti depressivi.
A 24 mesi di età (molto avanzata per dei topi), i ratti di Alzheimer non trattati avevano deficit di apprendimento e memoria rispetto a quelli di controllo. Al contrario, i ratti con Alzheimer trattati con P7C3 erano protetti e avevano capacità cognitive simili ai ratti di controllo.
Il team ha anche esaminato i cervelli dei ratti ai due punti temporali. Hanno trovato che i segni tradizionali dell'MA (placche amiloidi, grovigli di tau e neuroinflammazione) erano notevolmente aumentati nei ratti di Alzheimer, indipendentemente dal fatto che fossero stati trattati con P7C3 o no. Tuttavia nel cervello dei ratti di Alzheimer che avevano ricevuto il trattamento P7C3 molti neuroni erano sopravvissuti.
"Ciò suggerisce che tenere vive le cellule del cervello ha un potenziale beneficio clinico, anche in presenza di eventi patologici precedenti nell'MA, come l'accumulo di amiloide, i grovigli di tau e la neuroinflammazione", dice Pieper. "Nei casi di depressione di nuova insorgenza in età avanzata, un trattamento come P7C3 potrebbe essere particolarmente utile, contribuendo a stabilizzare l'umore e anche proteggere dai problemi di memoria più avanti i pazienti con MA".
Fonte: University of Iowa via ScienceDaily (> English text) - Traduzione di Franco Pellizzari.
Riferimenti: Jaymie R. Voorhees et al. P7C3-S243 protects a rat model of Alzheimer’s disease from neuropsychiatric deficits and neurodegeneration without altering amyloid deposition or reactive glia. Biological Psychiatry, November 2017 DOI: 10.1016/j.biopsych.2017.10.023
Copyright: Tutti i diritti di eventuali testi o marchi citati nell'articolo sono riservati ai rispettivi proprietari.
Liberatoria: Questo articolo non propone terapie o diete; per qualsiasi modifica della propria cura o regime alimentare si consiglia di rivolgersi a un medico o dietologo. Il contenuto non rappresenta necessariamente l'opinione dell'Associazione Alzheimer onlus di Riese Pio X ma solo quella dell'autore citato come "Fonte". I siti terzi raggiungibili da eventuali colelgamenti contenuti nell'articolo e/o dagli annunci pubblicitari sono completamente estranei all'Associazione, il loro accesso e uso è a discrezione dell'utente. Liberatoria completa qui.
Nota: L'articolo potrebbe riferire risultati di ricerche mediche, psicologiche, scientifiche o sportive che riflettono lo stato delle conoscenze raggiunte fino alla data della loro pubblicazione.
















Associazione Alzheimer OdV