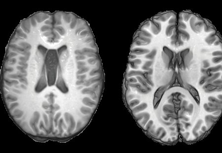
Scansioni MRI del cervello di un paziente con trauma cranico (sinistra) e di una persona sana (destra).Le persone che hanno subito gravi lesioni alla testa mostrano cambiamenti nella struttura del cervello simili a quelli presenti negli anziani, secondo un nuovo studio.
I ricercatori dell'Imperial College di Londra hanno analizzato le scansioni cerebrali di oltre 1.500 persone sane, per sviluppare un programma per computer che possa prevedere l'età di una persona dalla scansione cerebrale.
Hanno poi usato il programma per stimare l'«età cerebrale» di 113 persone sane e di 99 pazienti che avevano subito lesioni cerebrali traumatiche.
I pazienti con lesioni cerebrali hanno avuto una stima della loro età più alta di circa 5 anni, in media, della loro età reale.
Le lesioni alla testa sono già note per aumentare il rischio di contrarre, più tardi nella vita, condizioni neurologiche legate all'età, come la demenza. Il modello di previsione dell'età può essere utile come strumento di selezione per identificare i pazienti che hanno la probabilità di sviluppare problemi e per definire le strategie che impediscono o rallentano il loro declino.
"L'età cronologica non è necessariamente il migliore indicatore della salute o di quanto si può vivere ancora", ha detto il dottor James Cole del Dipartimento di Medicina dell'Imperial College di Londra, che ha diretto lo studio. "C'è un grande interesse nella ricerca di biomarcatori dell'invecchiamento che possono essere usati per misurare un certo aspetto della salute e prevedere i problemi futuri".
Lo studio, pubblicato nel numero di aprile di Annals of Neurology, ha usato la risonanza magnetica per immagini (MRI) per studiare i cambiamenti della struttura del cervello. I ricercatori hanno impiegato un algoritmo di apprendimento automatico per sviluppare un programma per computer che può riconoscere le differenze legate all'età nel volume della materia bianca e della materia grigia, in diverse parti del cervello.
Il modello è stato poi usato per stimare l'età dei soggetti in base alle loro scansioni cerebrali. Lo studio è stato fatto su 99 pazienti con lesioni cerebrali traumatiche (TBI) causate da incidenti stradali, cadute o aggressioni, che avevano problemi neurologici persistenti. Le scansioni sono state fatte da un mese a 46 anni dopo l'evento.
Nei soggetti sani la differenza media tra l'età prevista e l'età reale era pari a zero. Nei pazienti con trauma cranico, la differenza era significativamente più alta, con una discrepanza maggiore nei pazienti con lesioni più gravi. Le differenze nell'età prevista sono state associate ai disturbi cognitivi, come una memoria scarsa e tempi lenti di reazione.
C'era anche una correlazione tra il tempo da quando è intervenuto il pregiudizio e la differenza di età prevista, il che suggerisce che questi cambiamenti nella struttura del cervello non si verificano durante la lesione in sé, ma sono il risultato di processi biologici continui, potenzialmente simili a quelli del normale invecchiamento, che accelera dopo un infortunio.
"La lesione cerebrale traumatica non è un evento statico", ha detto il dottor Cole. "Può innescare processi secondari, probabilmente correlati all'infiammazione, che può causare più danni nel cervello negli anni successivi, e può contribuire allo sviluppo dell'Alzheimer o di altre forme di demenza".
I ricercatori ritengono che il modello di previsione dell'età potrebbe essere applicato non solo ai pazienti con trauma cranico, ma anche allo screening di persone esteriormente sane. "Vogliamo fare uno studio in cui usiamo il programma per stimare l'età del cervello delle persone sane, e quindi vedere se quelli con un «cervello vecchio» hanno più probabilità di ottenere le malattie neurodegenerative. Se funziona, si potrebbe usare per identificare le persone ad alto rischio, farle partecipare a studi e potenzialmente prescrivere trattamenti che potrebbero allontanare la malattia", ha detto il dottor Cole.
********
I ricercatori hanno ricevuto finanziamenti dal Settimo programma quadro dell'UE, dall'Istituto Nazionale per la Ricerca Sanitaria e dal NIHR Imperial Biomedical Research Centre.
Fonte: Sam Wong in Imperial College London (> English text) - Traduzione di Franco Pellizzari.
Riferimenti: James H Cole, Robert Leech, David J Sharp. Prediction of brain age suggests accelerated atrophy after traumatic brain injury. Annals of Neurology, 2015; DOI: 10.1002/ana.24367
Copyright: Tutti i diritti di eventuali testi o marchi citati nell'articolo sono riservati ai rispettivi proprietari.
Liberatoria: Questo articolo non propone terapie o diete; per qualsiasi modifica della propria cura o regime alimentare si consiglia di rivolgersi a un medico o dietologo. Il contenuto non dipende da, nè impegna l'Associazione Alzheimer onlus di Riese Pio X. I siti terzi raggiungibili da eventuali links contenuti nell'articolo e/o dagli annunci pubblicitari sono completamente estranei all'Associazione, il loro accesso e uso è a discrezione dell'utente. Liberatoria completa qui.
Nota: L'articolo potrebbe riferire risultati di ricerche mediche, psicologiche, scientifiche o sportive che riflettono lo stato delle conoscenze raggiunte fino alla data della loro pubblicazione.










Associazione Alzheimer OdV